Разработка и Технологии
ИИ в стоматологии: Как искусственный интеллект меняет ортодонтическое лечение Приветствую‚ друзья! Сегодня мы окунемся в мир передовых технологий
ИИ в стоматологии: Как нейросети меняют ортодонтию Мы живем в эпоху технологического прогресса, и стоматология не остается в стороне. Искусственный интеллект
Искусственный Интеллект в Ортодонтии: Как Мы Доверили Ему Наши Улыбки В современном мире технологии проникают во все сферы нашей жизни, и стоматология
Искусственный интеллект в стоматологии: будущее уже здесь! Приветствую, дорогие читатели! Сегодня мы, как команда исследователей и энтузиастов, хотим поделиться
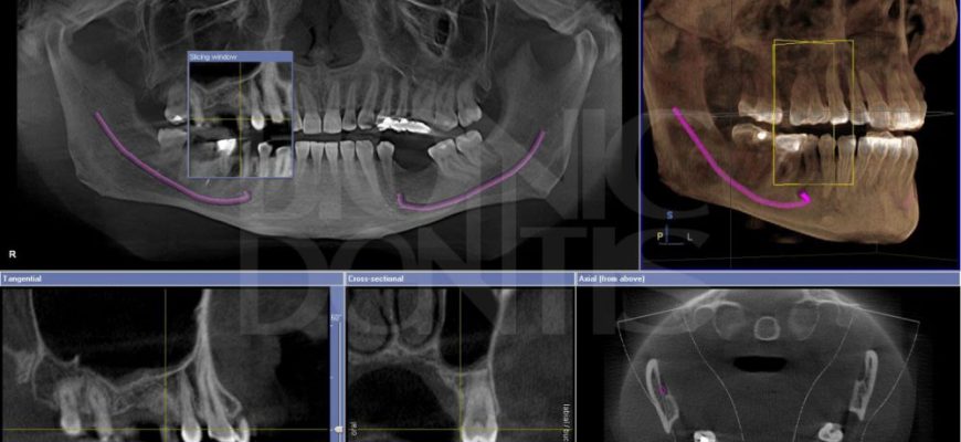
ИИ в стоматологии: Революция в анализе КТ и 3D планировании Стоматология, как и многие другие области медицины, переживает сейчас период бурного развития
ИИ в стоматологии: от снимка к диагнозу ⎻ личный опыт анализа КТ Приветствую вас, дорогие читатели! Сегодня мы погрузимся в захватывающий мир применения
ИИ в Ревматологии: Как Искусственный Интеллект Меняет Диагностику и Лечение Ревматология, область медицины, изучающая заболевания суставов, костей и соединительной
ИИ на страже здоровья: Как искусственный интеллект меняет раннюю диагностику ревматологических заболеваний Приветствую вас, дорогие читатели!
ИИ в радиологии: Революция в Диагностике, Которую Мы Заслужили Радиология, как область медицины, всегда стояла на передовой технологического прогресса.
Ох, давайте погрузимся в этот захватывающий мир! ИИ в пульмонологии: Как машинный интеллект помогает нам дышать легче Мы, как и многие другие, всегда стремимся










