- ИИ в стоматологии: Как искусственный интеллект меняет ортодонтическое лечение
- Что такое Искусственный Интеллект в Стоматологии?
- Основные области применения ИИ в ортодонтии
- Диагностика и анализ изображений
- Планирование лечения
- Мониторинг прогресса лечения
- Прогнозирование результатов
- Преимущества использования ИИ в ортодонтии
- Примеры успешного применения ИИ в ортодонтии
- Будущее ИИ в ортодонтии
- Вызовы и ограничения
ИИ в стоматологии: Как искусственный интеллект меняет ортодонтическое лечение
Приветствую‚ друзья! Сегодня мы окунемся в мир передовых технологий и посмотрим‚ как искусственный интеллект (ИИ) революционизирует стоматологию‚ а именно – ортодонтическое лечение. Нам всегда было интересно‚ как инновации могут сделать нашу жизнь лучше‚ и эта тема – яркий пример такого прогресса.
Представьте себе: более точные диагнозы‚ персонализированные планы лечения и более эффективные результаты. Звучит как научная фантастика? Вовсе нет! Это уже реальность‚ и мы собираемся разобраться‚ как это работает.
Что такое Искусственный Интеллект в Стоматологии?
Искусственный интеллект в стоматологии – это использование компьютерных систем для анализа данных‚ постановки диагнозов и разработки планов лечения. Эти системы обучаются на огромных массивах данных‚ таких как рентгеновские снимки‚ фотографии и истории болезней‚ чтобы выявлять закономерности и делать прогнозы с высокой точностью.
В ортодонтии ИИ может помочь врачам:
- Точнее диагностировать проблемы прикуса.
- Разрабатывать индивидуальные планы лечения‚ учитывающие особенности каждого пациента.
- Прогнозировать результаты лечения и оптимизировать его сроки.
- Улучшить коммуникацию с пациентами‚ предоставляя им наглядные визуализации и объяснения.
Основные области применения ИИ в ортодонтии
Давайте рассмотрим конкретные примеры того‚ как ИИ применяется в ортодонтическом лечении:
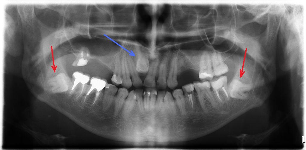
Диагностика и анализ изображений
ИИ может анализировать рентгеновские снимки‚ компьютерные томограммы (КТ) и фотографии зубов с невероятной точностью. Он способен выявлять мельчайшие детали‚ которые могут быть незаметны человеческому глазу‚ такие как:
- Скрытые кариозные поражения.
- Аномалии развития зубов.
- Проблемы с височно-нижнечелюстным суставом (ВНЧС).
- Неправильное положение зубов и челюстей.
Это позволяет врачам ставить более точные диагнозы и разрабатывать более эффективные планы лечения.
Планирование лечения
ИИ может использовать данные пациента‚ такие как его возраст‚ состояние зубов и челюстей‚ а также его предпочтения‚ для создания индивидуального плана лечения. Он может моделировать различные варианты лечения и прогнозировать их результаты‚ помогая врачу выбрать наиболее оптимальный подход.
Например‚ ИИ может помочь определить:
- Необходимость удаления зубов.
- Тип брекет-системы или элайнеров‚ которые лучше всего подойдут пациенту.
- Оптимальную последовательность перемещения зубов.
Мониторинг прогресса лечения
ИИ может отслеживать прогресс лечения и выявлять любые отклонения от плана. Он может анализировать фотографии и рентгеновские снимки‚ чтобы оценить‚ как зубы перемещаются‚ и корректировать лечение при необходимости.
Это позволяет врачам:
- Своевременно выявлять и устранять проблемы.
- Оптимизировать сроки лечения.
- Улучшить результаты лечения.
Прогнозирование результатов
Одной из самых интересных возможностей ИИ является прогнозирование результатов лечения. ИИ может использовать данные пациента и моделирование лечения‚ чтобы предсказать‚ как будут выглядеть его зубы после завершения лечения. Это может помочь пациентам принять осознанное решение о лечении и повысить их мотивацию.
«Будущее уже здесь — просто оно еще неравномерно распределено.»
― Уильям Гибсон
Преимущества использования ИИ в ортодонтии
Внедрение ИИ в ортодонтическую практику приносит целый ряд преимуществ‚ как для врачей‚ так и для пациентов:
- Повышенная точность диагностики: ИИ помогает выявлять проблемы‚ которые могут быть упущены при традиционном обследовании.
- Персонализированные планы лечения: ИИ позволяет разрабатывать планы лечения‚ которые учитывают индивидуальные особенности каждого пациента.
- Улучшенная эффективность лечения: ИИ помогает оптимизировать сроки и результаты лечения.
- Повышенная предсказуемость результатов: ИИ позволяет прогнозировать результаты лечения и повышать мотивацию пациентов.
- Улучшенная коммуникация с пациентами: ИИ предоставляет наглядные визуализации и объяснения‚ которые помогают пациентам лучше понимать свой план лечения.
Примеры успешного применения ИИ в ортодонтии
Существует множество компаний и клиник‚ которые уже успешно используют ИИ в ортодонтической практике. Например:
- Align Technology (Invisalign): Использует ИИ для планирования лечения с помощью элайнеров.
- DentalMonitoring: Разработал систему мониторинга прогресса лечения с помощью фотографий‚ сделанных пациентом дома.
- Numerous startups: Разрабатывают новые инструменты и алгоритмы на основе ИИ для диагностики‚ планирования и мониторинга ортодонтического лечения.
Будущее ИИ в ортодонтии
Мы считаем‚ что будущее ИИ в ортодонтии выглядит очень многообещающе. По мере развития технологий мы можем ожидать:
- Более точные и надежные алгоритмы диагностики.
- Более персонализированные и эффективные планы лечения.
- Более широкое использование ИИ для мониторинга прогресса лечения и прогнозирования результатов.
- Развитие новых инструментов и технологий‚ которые сделают ортодонтическое лечение более доступным и удобным для пациентов.
Вызовы и ограничения
Несмотря на все преимущества‚ важно признать‚ что использование ИИ в ортодонтии также сопряжено с определенными вызовами и ограничениями:
- Необходимость больших объемов данных: Для обучения ИИ требуются огромные объемы данных‚ что может быть сложно и дорого.
- Проблема предвзятости: Если данные‚ на которых обучается ИИ‚ содержат предвзятости‚ это может привести к неправильным результатам.
- Необходимость экспертной оценки: ИИ не может заменить врача‚ и его результаты всегда должны быть проверены и оценены экспертом.
- Этические вопросы: Использование ИИ в медицине поднимает важные этические вопросы‚ которые необходимо решать.
Нам кажется‚ что преодоление этих вызовов потребует совместных усилий врачей‚ разработчиков и регулирующих органов.
Искусственный интеллект имеет огромный потенциал для улучшения ортодонтического лечения. Он может помочь врачам ставить более точные диагнозы‚ разрабатывать персонализированные планы лечения‚ оптимизировать сроки и результаты лечения‚ а также улучшить коммуникацию с пациентами. Несмотря на существующие вызовы и ограничения‚ мы уверены‚ что ИИ будет играть все более важную роль в ортодонтии в будущем.
Нам было интересно исследовать эту тему и поделиться с вами нашими мыслями. Надеемся‚ что эта статья была полезной и информативной. Оставайтесь с нами‚ чтобы быть в курсе последних новостей и инноваций в мире стоматологии!
Подробнее
| ИИ в ортодонтии | Анализ рентгеновских снимков ИИ | Планирование ортодонтического лечения ИИ | Мониторинг лечения брекетами ИИ | Прогнозирование результатов ортодонтии ИИ |
|---|---|---|---|---|
| Применение машинного обучения в стоматологии | Диагностика прикуса с помощью ИИ | Искусственный интеллект в элайнерах | Автоматизация ортодонтического лечения | ИИ для улучшения точности брекетов |








