- ИИ в стоматологии: от снимка к диагнозу ⎻ личный опыт анализа КТ
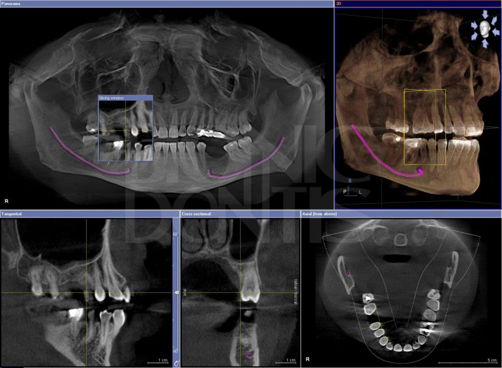
- Что такое КТ и почему она важна в стоматологии?
- Как ИИ меняет правила игры в анализе КТ?
- Примеры использования ИИ в нашей практике
- Планирование имплантации
- Выявление кариеса
- Диагностика заболеваний ВНЧС
- Вызовы и ограничения использования ИИ в стоматологии
- Будущее ИИ в стоматологии
ИИ в стоматологии: от снимка к диагнозу ⎻ личный опыт анализа КТ
Приветствую вас, дорогие читатели! Сегодня мы погрузимся в захватывающий мир применения искусственного интеллекта (ИИ) в стоматологии, а точнее, в анализ компьютерной томографии (КТ). Как практикующий специалист, мы с большим интересом наблюдаем за тем, как технологии меняют нашу работу, делая диагностику точнее, а лечение – эффективнее. Этот пост – это не просто обзор последних достижений, это наш личный опыт взаимодействия с ИИ в повседневной практике, наши успехи и, конечно же, те вызовы, с которыми нам пришлось столкнуться.
Мы расскажем о том, как ИИ помогает нам видеть то, что раньше оставалось скрытым, как он экономит время и ресурсы, и как, в конечном итоге, это все влияет на качество помощи, которую мы оказываем нашим пациентам. Приготовьтесь к путешествию в будущее стоматологии, где технологии и человеческий опыт работают рука об руку.
Что такое КТ и почему она важна в стоматологии?
Компьютерная томография (КТ) – это мощный инструмент визуализации, который позволяет получить трехмерное изображение челюстно-лицевой области. В отличие от обычного рентгеновского снимка, КТ предоставляет гораздо больше информации, что делает ее незаменимой при диагностике сложных случаев. Мы используем КТ для:
- Планирования имплантации зубов, чтобы точно определить положение нервов и гайморовых пазух.
- Выявления скрытых кариозных полостей, которые не видны на обычных рентгеновских снимках.
- Оценки состояния костной ткани при пародонтите.
- Диагностики заболеваний височно-нижнечелюстного сустава (ВНЧС).
- Обнаружения опухолей и кист челюстно-лицевой области.
Традиционно, анализ КТ требует от врача-рентгенолога большого опыта и внимательности. Необходимо тщательно изучить каждый срез изображения, чтобы не упустить важные детали. Это занимает много времени и может быть подвержено человеческому фактору. Именно здесь на помощь приходит искусственный интеллект.
Как ИИ меняет правила игры в анализе КТ?
Искусственный интеллект способен обрабатывать огромные объемы данных за считанные секунды, выявляя закономерности и аномалии, которые могут ускользнуть от человеческого взгляда. В нашем опыте, использование ИИ в анализе КТ привело к следующим положительным изменениям:
- Повышение точности диагностики: ИИ помогает выявлять даже самые незначительные изменения в костной ткани и мягких тканях, что позволяет диагностировать заболевания на ранних стадиях.
- Сокращение времени анализа: ИИ значительно ускоряет процесс анализа КТ, освобождая время врачей для других задач, таких как консультации с пациентами и планирование лечения.
- Уменьшение количества ошибок: ИИ снижает вероятность человеческих ошибок, особенно в сложных и неоднозначных случаях.
- Персонализированный подход к лечению: На основе данных, полученных с помощью ИИ, мы можем разрабатывать более индивидуальные планы лечения, учитывающие особенности каждого пациента.
В частности, мы использовали ИИ для автоматической сегментации зубов на КТ, что значительно упростило планирование ортодонтического лечения и установку имплантатов. Также, ИИ помог нам выявить признаки остеопороза на ранних стадиях, что позволило вовремя начать лечение и предотвратить серьезные осложнения.
Примеры использования ИИ в нашей практике
Давайте рассмотрим несколько конкретных примеров того, как ИИ помогает нам в нашей повседневной работе:
Планирование имплантации
Ранее, планирование имплантации занимало у нас довольно много времени. Необходимо было тщательно изучить КТ, определить положение нижнечелюстного нерва и гайморовых пазух, выбрать оптимальный размер и положение имплантата. С помощью ИИ этот процесс стал гораздо быстрее и точнее. ИИ автоматически определяет анатомические структуры, рассчитывает оптимальный угол и глубину установки имплантата, и даже моделирует результат лечения. Это не только экономит время, но и снижает риск осложнений.
Выявление кариеса
Иногда кариес развивается в труднодоступных местах, например, между зубами или под старыми пломбами. Обычный рентгеновский снимок может не выявить такую проблему, а КТ с использованием ИИ позволяет обнаружить даже самые маленькие кариозные полости. Это дает нам возможность начать лечение на ранней стадии и предотвратить разрушение зуба.
Диагностика заболеваний ВНЧС
Заболевания височно-нижнечелюстного сустава (ВНЧС) могут быть очень болезненными и трудно диагностируемыми. ИИ помогает нам выявлять признаки артрита, дегенеративных изменений и других патологий ВНЧС на КТ, что позволяет поставить правильный диагноз и назначить эффективное лечение.
«Будущее уже здесь – просто оно еще неравномерно распределено.» ‒ Уильям Гибсон
Вызовы и ограничения использования ИИ в стоматологии
Несмотря на все преимущества, использование ИИ в стоматологии не лишено вызовов и ограничений. Во-первых, необходимо понимать, что ИИ – это всего лишь инструмент, а не замена врачу. ИИ может помочь в диагностике, но окончательное решение всегда принимает врач, основываясь на своем опыте и знаниях.
Во-вторых, качество результатов, полученных с помощью ИИ, напрямую зависит от качества данных, на которых он был обучен. Если ИИ был обучен на неполных или неточных данных, он может выдавать ошибочные результаты. Поэтому важно использовать только проверенные и надежные системы ИИ.
В-третьих, стоимость внедрения и поддержки систем ИИ может быть довольно высокой. Не все стоматологические клиники могут позволить себе такие инвестиции. Однако, по нашему мнению, в долгосрочной перспективе использование ИИ оправдывает затраты, так как оно позволяет повысить качество лечения и привлечь больше пациентов.
Наконец, существует вопрос этики использования ИИ в медицине. Необходимо тщательно регулировать использование ИИ, чтобы защитить права пациентов и предотвратить злоупотребления. Важно помнить, что ИИ должен использоваться для улучшения здоровья людей, а не для получения прибыли любой ценой.
Будущее ИИ в стоматологии
Мы уверены, что будущее ИИ в стоматологии выглядит очень многообещающе. В ближайшие годы мы увидим все больше и больше новых применений ИИ в нашей области. Например, ИИ может быть использован для:
- Автоматического планирования лечения.
- Прогнозирования риска развития кариеса и пародонтита.
- Создания персонализированных зубных протезов и имплантатов.
- Обучения студентов-стоматологов.
- Проведения телемедицинских консультаций.
Мы считаем, что ИИ станет неотъемлемой частью стоматологической практики в будущем, помогая нам оказывать более качественную и эффективную помощь нашим пациентам. Главное – использовать ИИ разумно и ответственно, помня о том, что технологии должны служить людям, а не наоборот.
Наш опыт использования ИИ в анализе КТ показывает, что эта технология имеет огромный потенциал для улучшения стоматологической практики. ИИ помогает нам диагностировать заболевания на ранних стадиях, экономить время и ресурсы, и разрабатывать более индивидуальные планы лечения. Конечно, существуют и вызовы, связанные с внедрением и использованием ИИ, но мы уверены, что они преодолимы. В будущем ИИ станет еще более важным инструментом в руках стоматологов, помогая нам делать нашу работу лучше и приносить больше пользы нашим пациентам.
Мы надеемся, что эта статья была полезной и интересной для вас. Будем рады услышать ваши комментарии и вопросы! Спасибо за внимание!
Подробнее
| ИИ в стоматологии КТ | Анализ КТ с ИИ | ИИ диагностика зубов | Стоматология и искусственный интеллект | КТ зубов с ИИ |
|---|---|---|---|---|
| Применение ИИ в дентальной диагностике | ИИ в планировании имплантации | Автоматизация анализа КТ | ИИ для выявления кариеса | Преимущества ИИ в стоматологии |








