диагностики лечения заболеваний
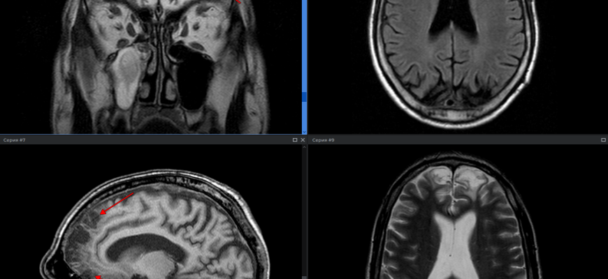
Искусственный Интеллект на Страже Здоровья: Наш Опыт Разработки ИИ для Анализа МРТ В современном мире технологии проникают во все сферы нашей жизни, и
Машинное обучение в протеомике: От данных к открытиям Протеомика, наука о белках, переживает настоящий ренессанс благодаря развитию технологий машинного обучения.
Машинное обучение в протеомике: От данных к открытиям Протеомика, наука о белках, переживает настоящий ренессанс благодаря развитию технологий машинного обучения.
Искусственный Интеллект на Страже Здоровья: Как ИИ Классифицирует Узлы Щитовидной Железы В современном мире технологий искусственный интеллект (ИИ) все




