- Искусственный Интеллект на Страже Здоровья: Наш Опыт Разработки ИИ для Анализа МРТ
- Актуальность и Цели Проекта
- Выбор Технологий и Инструментов
- Язык Программирования и Фреймворки
- Архитектура Нейронной Сети
- Платформа для Обучения и Развертывания
- Сбор и Подготовка Данных
- Обучение и Оценка Модели
- Интеграция и Развертывание
- Проблемы и Решения
- Перспективы Развития
Искусственный Интеллект на Страже Здоровья: Наш Опыт Разработки ИИ для Анализа МРТ
В современном мире технологии проникают во все сферы нашей жизни, и медицина не являеться исключением. Мы, как команда разработчиков, осознали огромный потенциал искусственного интеллекта (ИИ) в улучшении диагностики и лечения заболеваний. Нашей целью стало создание системы, способной анализировать изображения магнитно-резонансной томографии (МРТ) для оценки степени воспаления. Это сложная, но невероятно важная задача, ведь точная и своевременная диагностика – залог успешного лечения.
Мы решили поделиться нашим опытом разработки этой системы, рассказав о вызовах, с которыми мы столкнулись, и о решениях, которые мы нашли. Надеемся, что наш рассказ будет полезен другим разработчикам, медикам и всем, кто интересуется применением ИИ в медицине.
Актуальность и Цели Проекта
Воспалительные процессы в организме могут быть причиной множества заболеваний, от артрита до рассеянного склероза. Оценка степени воспаления играет ключевую роль в постановке диагноза и определении тактики лечения. МРТ является одним из самых эффективных методов визуализации, позволяющих получить детальные изображения внутренних органов и тканей. Однако анализ МРТ-снимков – трудоемкий и времязатратный процесс, требующий высокой квалификации от врача-радиолога. Даже опытные специалисты могут допускать ошибки из-за усталости или субъективного восприятия.
Именно здесь на помощь приходит ИИ. Автоматизированная система анализа МРТ способна:
- Сократить время анализа снимков.
- Повысить точность диагностики.
- Уменьшить вероятность человеческой ошибки.
- Предоставить объективную оценку степени воспаления.
Все это в конечном итоге ведет к улучшению качества медицинской помощи и повышению выживаемости пациентов.
Выбор Технологий и Инструментов
Прежде чем приступить к разработке, мы провели тщательный анализ доступных технологий и инструментов. Нам было важно выбрать оптимальное сочетание, обеспечивающее высокую производительность, точность и масштабируемость нашей системы.
Язык Программирования и Фреймворки
Мы остановили свой выбор на Python как на основном языке программирования. Python обладает богатой экосистемой библиотек для машинного обучения и анализа данных, таких как:
- TensorFlow: Мощный фреймворк для построения и обучения нейронных сетей.
- Keras: Высокоуровневый API для TensorFlow, упрощающий разработку нейронных сетей.
- NumPy: Библиотека для работы с многомерными массивами и выполнения математических операций.
- SciPy: Библиотека для научных вычислений и статистического анализа.
- Scikit-learn: Библиотека для машинного обучения, включающая различные алгоритмы классификации, регрессии и кластеризации.
Эти инструменты позволили нам эффективно разрабатывать и обучать модели машинного обучения, необходимые для анализа МРТ-снимков.
Архитектура Нейронной Сети
Для анализа изображений МРТ мы решили использовать сверточные нейронные сети (CNN). CNN доказали свою эффективность в задачах компьютерного зрения, таких как распознавание изображений и обнаружение объектов. Мы выбрали архитектуру U-Net, которая особенно хорошо подходит для сегментации медицинских изображений. U-Net позволяет выделять области интереса на снимках МРТ, такие как области воспаления.
Платформа для Обучения и Развертывания
Обучение нейронных сетей требует значительных вычислительных ресурсов. Поэтому мы использовали облачную платформу Google Cloud Platform (GCP) для обучения наших моделей. GCP предоставляет доступ к мощным графическим процессорам (GPU) и TPU, что значительно ускорило процесс обучения. Для развертывания нашей системы мы также использовали GCP, что обеспечило масштабируемость и надежность.
Сбор и Подготовка Данных
Успех любой системы машинного обучения напрямую зависит от качества и объема данных, на которых она обучается. Мы столкнулись с серьезной проблемой – ограниченным количеством размеченных МРТ-снимков с информацией о степени воспаления. Получение таких данных – трудоемкий и дорогостоящий процесс, требующий участия квалифицированных врачей-радиологов.
Мы предприняли следующие шаги для решения этой проблемы:
- Сотрудничество с медицинскими учреждениями: Мы установили партнерские отношения с несколькими больницами и исследовательскими центрами, чтобы получить доступ к МРТ-снимкам.
- Аугментация данных: Мы использовали методы аугментации данных, такие как повороты, масштабирование и отражения, чтобы увеличить объем обучающей выборки.
- Полуавтоматическая разметка: Мы разработали инструменты для полуавтоматической разметки МРТ-снимков, которые позволяли врачам-радиологам быстрее и точнее выделять области воспаления.
Подготовка данных включала в себя не только разметку, но и предобработку изображений. Мы применяли методы нормализации и стандартизации, чтобы улучшить качество данных и облегчить обучение нейронной сети.
«Искусственный интеллект не заменит врачей, но врачи, использующие искусственный интеллект, заменят тех, кто его не использует.» ౼ Dr. Peter Diamandis
Обучение и Оценка Модели
Обучение нейронной сети – итеративный процесс, требующий постоянной настройки параметров и оценки результатов. Мы использовали следующие метрики для оценки качества нашей модели:
- Точность (Accuracy): Доля правильно классифицированных пикселей.
- Пересечение по объединению (IoU): Мера перекрытия между предсказанной и истинной областью воспаления.
- Чувствительность (Sensitivity): Доля правильно обнаруженных областей воспаления.
- Специфичность (Specificity): Доля правильно идентифицированных областей без воспаления.
Мы экспериментировали с различными параметрами обучения, такими как скорость обучения, размер пакета и функция потерь, чтобы добиться наилучших результатов. Мы также использовали методы регуляризации, такие как dropout и L2-регуляризация, чтобы предотвратить переобучение модели.
После обучения мы провели тщательную оценку нашей модели на независимой тестовой выборке. Результаты показали, что наша система способна с высокой точностью определять степень воспаления на МРТ-снимках.
Интеграция и Развертывание
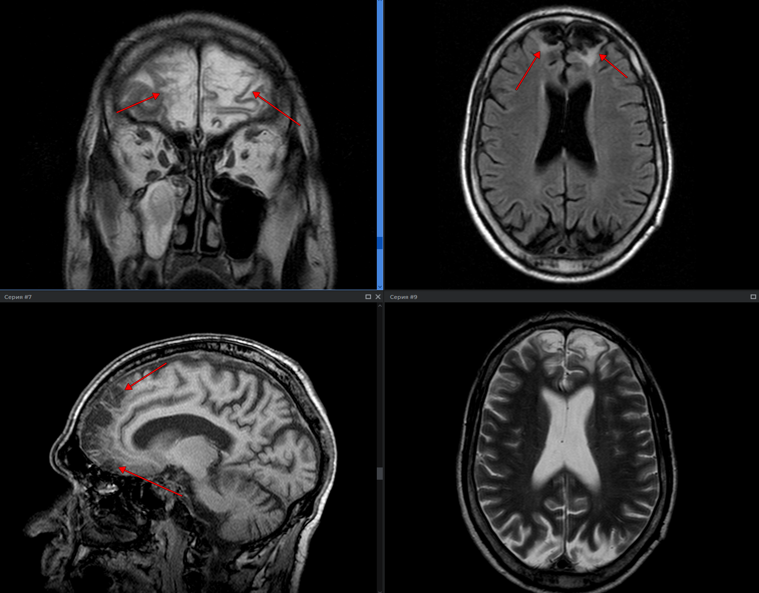
После успешного обучения и оценки модели мы приступили к интеграции нашей системы в существующую медицинскую инфраструктуру. Мы разработали веб-интерфейс, который позволяет врачам-радиологам загружать МРТ-снимки и получать результаты анализа. Наша система предоставляет визуализацию областей воспаления и оценку их степени.
Мы также разработали API, который позволяет другим медицинским системам интегрироваться с нашей системой анализа МРТ. Это позволяет автоматизировать процесс диагностики и лечения заболеваний, связанных с воспалительными процессами.
Проблемы и Решения
В процессе разработки мы столкнулись с рядом проблем:
- Недостаток размеченных данных: Решили путем сотрудничества с медицинскими учреждениями и использования методов аугментации данных.
- Высокая вычислительная сложность: Использовали облачные платформы с мощными GPU и TPU.
- Интерпретируемость результатов: Разработали визуализацию областей воспаления и предоставляем врачам подробную информацию о результатах анализа.
Перспективы Развития
Мы видим огромный потенциал для дальнейшего развития нашей системы. В будущем мы планируем:
- Расширить область применения нашей системы для анализа других типов медицинских изображений.
- Разработать алгоритмы для прогнозирования развития воспалительных процессов.
- Интегрировать нашу систему с системами поддержки принятия решений, чтобы помочь врачам в выборе оптимальной тактики лечения.
Разработка ИИ для анализа изображений МРТ – сложная, но невероятно важная задача. Мы надеемся, что наш опыт будет полезен другим разработчикам и медикам, стремящимся улучшить качество медицинской помощи с помощью технологий искусственного интеллекта. Мы уверены, что ИИ может сыграть ключевую роль в будущем медицины, и мы рады быть частью этого процесса.
Подробнее
| Анализ МРТ с ИИ | Воспаление МРТ диагностика | ИИ в медицинской визуализации | Автоматизация МРТ анализа | Нейронные сети для МРТ |
|---|---|---|---|---|
| Разработка ИИ для медицины | Сегментация МРТ изображений | Оценка степени воспаления ИИ | Машинное обучение в радиологии | Диагностика заболеваний с ИИ |








