диагностика рака легких
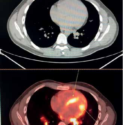
ИИ в Пульмонологии: Как Нейросети Разглядывают Рак Легких на Ранних Стадиях, Спасая Жизни Мы живем в удивительное время, когда искусственный интеллект
ИИ в пульмонологии: Как нейросети спасают наши легкие Привет, друзья! Сегодня мы погрузимся в захватывающий мир, где искусственный интеллект (ИИ) встречается


