ИИ в пульмонологии: Как нейросети спасают наши легкие
Привет, друзья! Сегодня мы погрузимся в захватывающий мир, где искусственный интеллект (ИИ) встречается с пульмонологией, наукой о легких. Мы, как люди, стремящиеся к здоровой и долгой жизни, не можем игнорировать революционные изменения, которые ИИ вносит в диагностику и лечение заболеваний легких. Представьте себе мир, где крошечные, почти невидимые узелки в легких обнаруживаются с невероятной точностью, где анализ компьютерной томографии (КТ) становится быстрее и надежнее, а врачи получают мощный инструмент для ранней диагностики и спасения жизней. Это уже не фантастика, это реальность, которую формирует ИИ.
В этой статье мы поделимся нашим опытом и знаниями о применении ИИ в пульмонологии, особенно в анализе КТ и обнаружении мелких узелков. Мы расскажем о том, как нейросети помогают врачам ставить более точные диагнозы, какие преимущества это приносит пациентам, и какие перспективы открываются перед нами в будущем. Приготовьтесь к увлекательному путешествию в мир передовых технологий и их влияния на наше здоровье!
Почему ИИ так важен в пульмонологии?
Легкие – жизненно важный орган, и их здоровье играет ключевую роль в нашем общем благополучии. К сожалению, заболевания легких, такие как рак легких, хроническая обструктивная болезнь легких (ХОБЛ) и пневмония, остаются одними из самых распространенных и опасных в мире. Ранняя диагностика этих заболеваний имеет решающее значение для успешного лечения и повышения шансов на выживание. Однако обнаружение заболеваний легких на ранних стадиях может быть сложной задачей.
Именно здесь на помощь приходит ИИ. Нейросети, обученные на огромных массивах данных, способны анализировать изображения КТ с невероятной скоростью и точностью, выявляя даже самые мелкие и незаметные изменения в легких. Это позволяет врачам обнаруживать заболевания на ранних стадиях, когда лечение наиболее эффективно. Более того, ИИ может помочь врачам в принятии решений о тактике лечения, предлагая персонализированные подходы, основанные на индивидуальных особенностях каждого пациента.
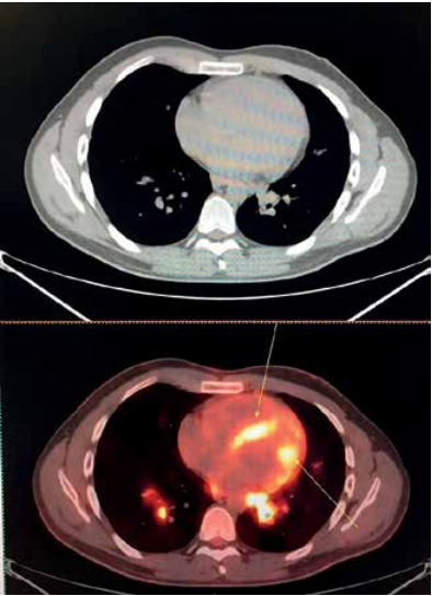
Анализ КТ с помощью ИИ: Прорыв в диагностике
Компьютерная томография (КТ) – один из самых важных инструментов в пульмонологии. Она позволяет получить детальные изображения легких и выявить различные патологии. Однако анализ КТ – трудоемкий и времязатратный процесс, требующий от врачей высокой квалификации и опыта. Даже самые опытные врачи могут упустить небольшие детали или допустить ошибки при интерпретации изображений.
ИИ меняет правила игры в анализе КТ. Нейросети, обученные на тысячах изображений КТ, способны автоматически анализировать снимки и выявлять различные патологии, такие как узелки, опухоли, воспалительные процессы и другие изменения в легких. ИИ может не только обнаруживать патологии, но и измерять их размеры, определять их форму и структуру, а также отслеживать их динамику со временем. Это позволяет врачам получать более полную и объективную информацию о состоянии легких пациента и принимать обоснованные решения о тактике лечения.
Обнаружение мелких узелков: Ранняя диагностика рака легких
Рак легких – одна из самых распространенных и смертоносных форм рака. Ранняя диагностика рака легких имеет решающее значение для повышения шансов на выживание. Однако обнаружение рака легких на ранних стадиях – сложная задача, так как опухоли часто развиваются бессимптомно и обнаруживаются случайно при обследованиях по другим причинам.
Мелкие узелки в легких – один из самых ранних признаков рака легких. Однако обнаружение и идентификация мелких узелков – сложная задача, так как они могут быть очень маленькими и незаметными на изображениях КТ. ИИ способен обнаруживать даже самые мелкие узелки в легких с высокой точностью, что позволяет врачам выявлять рак легких на ранних стадиях, когда лечение наиболее эффективно. ИИ также может помочь врачам в оценке риска злокачественности узелков и в принятии решений о необходимости дальнейшего обследования и лечения.
Преимущества использования ИИ в обнаружении мелких узелков:
- Повышение точности: ИИ способен обнаруживать узелки, которые могут быть пропущены врачами.
- Ускорение процесса: ИИ может анализировать изображения КТ гораздо быстрее, чем врачи.
- Уменьшение количества ложноположительных результатов: ИИ может снизить количество ложноположительных результатов, что позволяет избежать ненужных обследований и тревог.
- Объективность: ИИ не подвержен человеческому фактору, такому как усталость и субъективность.
«Будущее принадлежит тем, кто верит в красоту своей мечты.» ⎻ Элеонора Рузвельт
Примеры успешного применения ИИ в пульмонологии
В последние годы было разработано множество систем ИИ для анализа КТ и обнаружения заболеваний легких. Многие из этих систем уже успешно применяются в клинической практике, демонстрируя впечатляющие результаты. Например, некоторые системы ИИ способны обнаруживать рак легких на ранних стадиях с точностью, сопоставимой с точностью опытных врачей-радиологов. Другие системы ИИ помогают врачам в дифференциальной диагностике различных заболеваний легких, таких как пневмония, туберкулез и грибковые инфекции.
Вот несколько примеров успешного применения ИИ в пульмонологии:
- Ранняя диагностика рака легких: ИИ помогает врачам обнаруживать рак легких на ранних стадиях, что позволяет начать лечение своевременно и повысить шансы на выживание.
- Дифференциальная диагностика заболеваний легких: ИИ помогает врачам различать различные заболевания легких, что позволяет выбрать наиболее эффективную тактику лечения.
- Оценка риска злокачественности узелков: ИИ помогает врачам оценивать риск злокачественности узелков в легких и принимать решения о необходимости дальнейшего обследования и лечения.
- Планирование хирургических вмешательств: ИИ помогает хирургам планировать операции на легких, предоставляя точную информацию о расположении и размерах опухолей.
- Мониторинг эффективности лечения: ИИ помогает врачам отслеживать эффективность лечения заболеваний легких, анализируя изменения в изображениях КТ со временем.
Перспективы развития ИИ в пульмонологии
Применение ИИ в пульмонологии находится на ранней стадии развития, но уже сейчас демонстрирует огромный потенциал. В будущем мы можем ожидать дальнейшего развития и совершенствования систем ИИ для анализа КТ и обнаружения заболеваний легких. Мы можем также ожидать появления новых применений ИИ в пульмонологии, таких как:
- Персонализированная медицина: ИИ поможет врачам разрабатывать персонализированные подходы к лечению заболеваний легких, основанные на индивидуальных особенностях каждого пациента.
- Прогнозирование риска развития заболеваний легких: ИИ поможет врачам прогнозировать риск развития заболеваний легких у пациентов на основе анализа их генетической информации, образа жизни и других факторов.
- Разработка новых лекарственных препаратов: ИИ поможет фармацевтическим компаниям разрабатывать новые лекарственные препараты для лечения заболеваний легких, анализируя огромные массивы данных о заболеваниях и лекарствах.
Мы надеемся, что эта статья была для вас полезной и интересной. Следите за нашими обновлениями, чтобы быть в курсе последних новостей и разработок в области ИИ и пульмонологии!
Мы рассмотрели лишь некоторые аспекты применения ИИ в пульмонологии, но даже этого достаточно, чтобы понять, насколько велик его потенциал. Использование нейросетей в анализе КТ и обнаружении мелких узелков – это не просто модный тренд, это реальная возможность улучшить качество диагностики и лечения заболеваний легких, спасти жизни и повысить качество жизни миллионов людей. Мы, как пациенты и как общество в целом, должны поддерживать и приветствовать развитие этих технологий, чтобы в полной мере воспользоваться их преимуществами. Будущее пульмонологии – за ИИ!
Подробнее
| LSI Запрос | LSI Запрос | LSI Запрос | LSI Запрос | LSI Запрос |
|---|---|---|---|---|
| ИИ анализ КТ легких | Нейросети в пульмонологии | Обнаружение узелков ИИ | Ранняя диагностика рака легких | ИИ в медицинской визуализации |
| Алгоритмы ИИ для легких | КТ с использованием ИИ | Программы для анализа легких | ИИ в рентгенологии легких | Автоматизация анализа КТ |








