позволяет врачам более
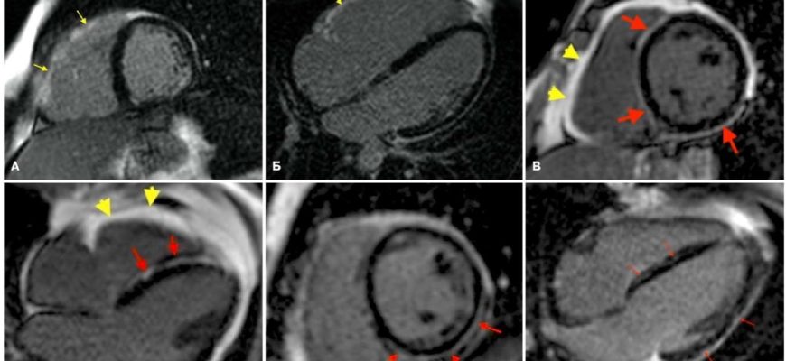
Искусственный Интеллект на Страже Здоровья: Наш Опыт Разработки ИИ для Анализа МРТ В современном мире, где объемы медицинских данных растут экспоненциально
ИИ в трансплантологии: Новая надежда или технологическая утопия? Приветствую вас‚ дорогие читатели! Сегодня мы погрузимся в захватывающую и одновременно


