анализа медицинских изображений
ИИ в медицине: Как искусственный интеллект видит то, что пропускает глаз врача (на примере МРТ и рассеянного склероза) В мире, где технологии развиваются
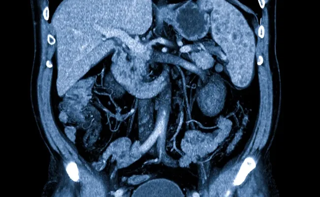
ИИ в диагностике толстой кишки: личный опыт и прорывные технологии Приветствую, друзья! Сегодня мы хотим поделиться нашим опытом погружения в захватывающий
ИИ в радиологии: Революция в Диагностике, Которую Мы Заслужили Радиология, как область медицины, всегда стояла на передовой технологического прогресса.
ИИ в гастроэнтерологии: Как анализ МРТ меняет правила игры В последние годы мы наблюдаем настоящий прорыв в области искусственного интеллекта (ИИ), и его
ИИ в анализе медицинских изображений: Как технологии меняют здравоохранение В последние годы мы наблюдаем невероятный прогресс в области искусственного





