анализа медицинских изображений
Революция в медицине: Как удаленный просмотр медицинских изображений меняет нашу жизнь Мы живем в эпоху, когда технологии проникают во все сферы нашей
Революция в медицине: Как искусственный интеллект меняет удаленную диагностику Мы живем в эпоху, когда технологии проникают во все сферы нашей жизни, и
Революция в здравоохранении: Как стандартизация анализа медицинских изображений меняет правила игры Мы живем в эпоху невероятного прогресса в области медицины
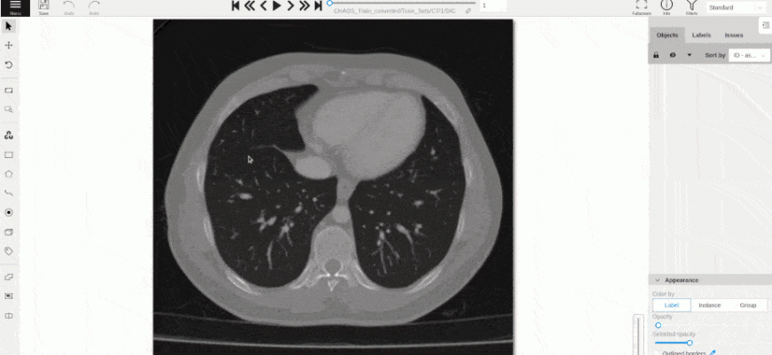
Революция в Диагностике: Как мы создаем системы анализа медицинских изображений DICOM Приветствую, уважаемые читатели! Сегодня мы погрузимся в захватывающий
Как мы построили систему анализа медицинских изображений: от сегментации до точности Приветствую, друзья! Сегодня мы поделимся своим опытом разработки
От Пикселя к Диагнозу: Как мы научили компьютер видеть артефакты на медицинских снимках В мире‚ где каждая секунда на счету‚
Революция в медицине: Как облачные системы анализа изображений меняют здравоохранение В последние годы мы являемся свидетелями невероятного прорыва в области
От пикселя к диагнозу: Наш опыт разработки систем анализа медицинских изображений Приветствую вас, дорогие читатели! Сегодня мы хотим поделиться с вами
DICOM: От пикселя к диагнозу – Как мы разрабатываем системы анализа медицинских изображений В эпоху цифровой медицины, когда изображения стали неотъемлемой
Искусственный Интеллект на Страже Здоровья: Как Мы Сегментируем Опухоли на МРТ-снимках Медицинская визуализация – это невероятно важная область современной медицины.










