- Искусственный Интеллект на Страже Здоровья: Как мы разрабатываем ИИ для анализа МРТ при рассеянном склерозе
- Что такое рассеянный склероз и почему так важна ранняя диагностика?
- МРТ как ключевой инструмент в диагностике и мониторинге РС
- Проблемы традиционного анализа МРТ
- Наш подход к разработке ИИ для анализа МРТ
- Используемые технологии и инструменты
- Преимущества использования ИИ в анализе МРТ при РС
- Наши результаты и планы на будущее
- Как вы можете помочь?
Искусственный Интеллект на Страже Здоровья: Как мы разрабатываем ИИ для анализа МРТ при рассеянном склерозе
В мире‚ где технологии проникают во все сферы нашей жизни‚ медицина не остается в стороне. Мы‚ команда энтузиастов и специалистов в области искусственного интеллекта и нейровизуализации‚ посвятили себя разработке решения‚ которое поможет врачам быстрее и точнее диагностировать и мониторить рассеянный склероз – заболевание‚ поражающее центральную нервную систему.
Наша цель – создать ИИ‚ способный анализировать изображения МРТ с высокой точностью и скоростью‚ предоставляя врачам ценную информацию для принятия решений о лечении и мониторинге прогрессирования заболевания. Это не просто проект‚ это наша миссия – улучшить качество жизни людей‚ страдающих от рассеянного склероза.
Что такое рассеянный склероз и почему так важна ранняя диагностика?
Рассеянный склероз (РС) – это хроническое аутоиммунное заболевание‚ при котором иммунная система атакует миелин – защитную оболочку нервных волокон в головном и спинном мозге. Это приводит к нарушению передачи нервных импульсов и‚ как следствие‚ к различным неврологическим симптомам‚ таким как:
- Нарушения зрения
- Проблемы с координацией и равновесием
- Мышечная слабость
- Онемение и покалывание
- Утомляемость
Ранняя диагностика РС имеет решающее значение‚ поскольку позволяет начать лечение на ранних стадиях‚ замедлить прогрессирование заболевания и улучшить качество жизни пациентов. Однако диагностика РС может быть сложной задачей‚ требующей опыта и внимательности от врачей-неврологов и радиологов.
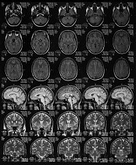
МРТ как ключевой инструмент в диагностике и мониторинге РС
Магнитно-резонансная томография (МРТ) – это неинвазивный метод визуализации‚ который позволяет получить детальные изображения головного и спинного мозга. МРТ является ключевым инструментом в диагностике и мониторинге РС‚ поскольку позволяет выявлять очаги демиелинизации – участки повреждения миелина‚ характерные для этого заболевания.
Однако анализ МРТ-изображений требует времени и опыта. Врачи-радиологи должны внимательно изучить каждый снимок‚ чтобы выявить и оценить очаги демиелинизации. Этот процесс может быть трудоемким и подвержен ошибкам‚ особенно при большом количестве снимков или сложных случаях.
Проблемы традиционного анализа МРТ
Несмотря на свою эффективность‚ традиционный анализ МРТ-изображений имеет ряд ограничений:
- Трудоемкость: Анализ большого количества снимков требует значительных временных затрат от врачей-радиологов.
- Субъективность: Интерпретация изображений может зависеть от опыта и личного мнения радиолога‚ что может приводить к расхождениям в диагнозах.
- Ограниченная чувствительность: В некоторых случаях небольшие или труднодоступные очаги демиелинизации могут быть пропущены при визуальном анализе.
Именно эти проблемы вдохновили нас на разработку ИИ‚ который сможет автоматизировать и улучшить процесс анализа МРТ-изображений при РС.
Наш подход к разработке ИИ для анализа МРТ
Мы используем современные методы машинного обучения и глубокого обучения для создания ИИ‚ способного анализировать МРТ-изображения и выявлять признаки РС. Наш подход включает в себя следующие этапы:
- Сбор и подготовка данных: Мы собираем большой объем МРТ-изображений пациентов с РС и здоровых людей. Эти изображения тщательно размечаются опытными радиологами‚ которые указывают на очаги демиелинизации и другие патологические изменения.
- Разработка моделей машинного обучения: Мы разрабатываем и обучаем различные модели машинного обучения‚ такие как сверточные нейронные сети (CNN)‚ для автоматического выявления очагов демиелинизации на МРТ-изображениях.
- Оценка и оптимизация моделей: Мы тщательно оцениваем производительность наших моделей на независимом наборе данных и оптимизируем их для достижения максимальной точности и надежности.
- Интеграция в клиническую практику: Мы работаем над интеграцией нашего ИИ в существующие системы визуализации и рабочие процессы в больницах и клиниках‚ чтобы врачи могли легко использовать его в своей повседневной практике.
Используемые технологии и инструменты
Для разработки нашего ИИ мы используем широкий спектр технологий и инструментов‚ включая:
- Python: Основной язык программирования для машинного обучения и анализа данных.
- TensorFlow и PyTorch: Фреймворки для глубокого обучения‚ позволяющие создавать и обучать сложные нейронные сети.
- Medical Imaging Interaction Toolkit (MITK): Платформа для обработки и визуализации медицинских изображений.
- DICOM: Стандарт для передачи и хранения медицинских изображений.
«Искусственный интеллект – это не замена врачам‚ а инструмент‚ который помогает им принимать более обоснованные решения.» ⎼ Эндрю Ын
Преимущества использования ИИ в анализе МРТ при РС
Использование ИИ в анализе МРТ-изображений при РС открывает ряд значительных преимуществ:
- Повышение точности и скорости диагностики: ИИ может анализировать изображения быстрее и точнее‚ чем человек‚ что позволяет сократить время диагностики и снизить вероятность ошибок.
- Улучшение объективности: ИИ не подвержен влиянию субъективных факторов‚ таких как усталость или личное мнение‚ что обеспечивает более объективную и последовательную интерпретацию изображений.
- Оптимизация рабочих процессов: ИИ может автоматизировать рутинные задачи‚ такие как выявление и измерение очагов демиелинизации‚ освобождая время врачей для более сложных и важных задач.
- Персонализированная медицина: ИИ может использоваться для анализа больших объемов данных и выявления закономерностей‚ которые помогут врачам разрабатывать более персонализированные планы лечения для каждого пациента.
Наши результаты и планы на будущее
Наши первые результаты показывают‚ что наш ИИ способен выявлять очаги демиелинизации на МРТ-изображениях с высокой точностью‚ сравнимой с опытом опытных радиологов. Мы продолжаем работать над улучшением производительности наших моделей и расширением их функциональности.
В будущем мы планируем:
- Разработать ИИ‚ способный прогнозировать прогрессирование РС на основе анализа МРТ-изображений и клинических данных.
- Создать систему‚ которая позволит врачам отслеживать эффективность лечения РС с помощью ИИ-анализа МРТ-изображений.
- Сделать наш ИИ доступным для широкого круга врачей и пациентов по всему миру.
Мы верим‚ что искусственный интеллект имеет огромный потенциал для улучшения диагностики и лечения рассеянного склероза. Мы полны решимости продолжать нашу работу и внести свой вклад в борьбу с этим тяжелым заболеванием.
Как вы можете помочь?
Если вы заинтересованы в нашей работе и хотите поддержать нас‚ вы можете:
- Поделиться этой статьей с друзьями и коллегами.
- Связаться с нами‚ если вы являетесь врачом‚ исследователем или инвестором и хотите сотрудничать с нами.
- Пожертвовать средства на развитие нашего проекта.
Вместе мы можем сделать мир лучше для людей‚ страдающих от рассеянного склероза.
Подробнее
| ИИ для МРТ | Рассеянный склероз | Анализ изображений | Диагностика РС | Мониторинг РС |
|---|---|---|---|---|
| Машинное обучение в медицине | Нейронные сети и МРТ | Демиелинизация | МРТ головного мозга | Инструменты для радиологов |








