- Искусственный интеллект на страже дыхания: Как ИИ меняет пульмонологию
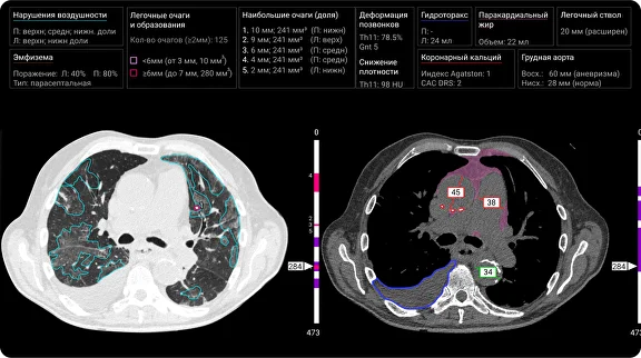
- Анализ снимков КТ: ИИ в роли рентгенолога
- Преимущества использования ИИ для анализа КТ-снимков:
- Количественная оценка фиброза: ИИ как инструмент для мониторинга прогрессирования заболевания
- Как ИИ оценивает фиброз:
- Перспективы развития ИИ в пульмонологии
- Этические аспекты использования ИИ в медицине
Искусственный интеллект на страже дыхания: Как ИИ меняет пульмонологию
В эпоху стремительного развития технологий мы все чаще сталкиваемся с внедрением искусственного интеллекта (ИИ) в различные сферы нашей жизни. И медицина, безусловно, не является исключением. Сегодня мы поговорим о том, как ИИ проникает в пульмонологию, помогая врачам диагностировать и лечить заболевания легких с большей точностью и эффективностью. Наш опыт показывает, что эта область развивается невероятно быстро, открывая новые горизонты в борьбе за здоровье дыхательной системы.
Мы, как блогеры, всегда стремимся рассказывать о самых интересных и перспективных направлениях в науке и технологиях. И тема применения ИИ в пульмонологии захватила нас своей актуальностью и потенциалом. Мы уверены, что эта информация будет полезна и интересна как специалистам, так и широкому кругу читателей, заботящихся о своем здоровье.
Анализ снимков КТ: ИИ в роли рентгенолога
Компьютерная томография (КТ) – один из важнейших методов диагностики в пульмонологии. Она позволяет получить детальное изображение легких и выявить различные патологии. Однако интерпретация КТ-снимков – задача трудоемкая и требующая большого опыта. Здесь на помощь приходит ИИ.
Современные алгоритмы ИИ способны анализировать КТ-снимки с высокой скоростью и точностью, выявляя даже самые незначительные изменения в структуре легких. Они могут автоматически определять наличие очагов воспаления, опухолей, фиброзных изменений и других патологий. Это значительно облегчает работу врачей и позволяет ускорить процесс диагностики.
Мы были поражены тем, насколько быстро ИИ может обрабатывать огромные объемы данных и выделять ключевые признаки заболеваний. Это открывает новые возможности для ранней диагностики и своевременного начала лечения.
Преимущества использования ИИ для анализа КТ-снимков:
- Повышение точности диагностики: ИИ помогает выявлять патологии, которые могут быть пропущены при ручном анализе.
- Ускорение процесса диагностики: ИИ анализирует снимки гораздо быстрее, чем человек.
- Снижение нагрузки на врачей: ИИ берет на себя рутинную работу по анализу снимков, позволяя врачам сосредоточиться на более сложных задачах.
- Объективность оценки: ИИ не подвержен субъективным факторам, которые могут влиять на мнение врача.
Количественная оценка фиброза: ИИ как инструмент для мониторинга прогрессирования заболевания
Фиброз легких – это серьезное заболевание, характеризующееся замещением нормальной ткани легких рубцовой тканью. Прогрессирование фиброза приводит к нарушению функции легких и дыхательной недостаточности. Важным аспектом лечения фиброза является мониторинг прогрессирования заболевания.
ИИ может быть использован для количественной оценки фиброза на основе КТ-снимков. Алгоритмы ИИ способны измерять объем и плотность фиброзной ткани, что позволяет врачам отслеживать динамику заболевания и корректировать лечение при необходимости.
Мы увидели, как ИИ помогает врачам принимать более обоснованные решения о лечении фиброза, основываясь на объективных данных о состоянии легких пациента.
«Будущее принадлежит тем, кто верит в красоту своей мечты.» ― Элеонора Рузвельт
Как ИИ оценивает фиброз:
- Автоматическая сегментация легких: ИИ выделяет область легких на КТ-снимке.
- Идентификация фиброзной ткани: ИИ определяет участки легких, пораженные фиброзом.
- Количественная оценка: ИИ измеряет объем и плотность фиброзной ткани.
- Отслеживание динамики: ИИ сравнивает результаты анализа КТ-снимков, сделанных в разное время, для оценки прогрессирования заболевания.
Перспективы развития ИИ в пульмонологии
Применение ИИ в пульмонологии находится на начальном этапе развития, но уже сейчас можно говорить о его огромном потенциале. В будущем мы можем ожидать появления новых алгоритмов ИИ, способных решать еще более сложные задачи, такие как:
- Прогнозирование риска развития заболеваний легких.
- Персонализированный подбор лечения на основе генетических данных и особенностей пациента.
- Автоматическое создание отчетов по результатам анализа КТ-снимков.
- Разработка новых методов диагностики и лечения заболеваний легких.
Мы уверены, что ИИ станет незаменимым инструментом в руках пульмонологов, помогая им спасать жизни и улучшать качество жизни пациентов.
Этические аспекты использования ИИ в медицине
Внедрение ИИ в медицину, безусловно, несет в себе огромные перспективы, но также ставит перед нами ряд этических вопросов. Важно помнить, что ИИ – это всего лишь инструмент, и ответственность за его использование лежит на людях. Необходимо обеспечить прозрачность и понятность алгоритмов ИИ, чтобы врачи могли доверять их результатам. Также важно защищать конфиденциальность данных пациентов и предотвращать дискриминацию на основе результатов анализа ИИ.
Мы считаем, что обсуждение этических аспектов использования ИИ в медицине – это важный шаг на пути к его безопасному и эффективному внедрению.
Искусственный интеллект открывает новые возможности в пульмонологии, позволяя врачам диагностировать и лечить заболевания легких с большей точностью и эффективностью. Мы уверены, что в будущем ИИ станет незаменимым инструментом в борьбе за здоровье дыхательной системы. Наш опыт подсказывает, что будущее медицины тесно связано с развитием и внедрением искусственного интеллекта.
Подробнее
| КТ легких ИИ | Фиброз легких диагностика | Пульмонология искусственный интеллект | Анализ КТ снимков ИИ | ИИ в медицине |
|---|---|---|---|---|
| Ранняя диагностика заболеваний легких | Количественная оценка фиброза | Прогнозирование заболеваний легких | Персонализированная медицина в пульмонологии | ИИ в рентгенологии |








