- Искусственный Интеллект в Пульмонологии: Наш Опыт Борьбы с Фиброзом
- Первые Шаги: Знакомство с ИИ в Диагностике
- КТ-Снимки и ИИ: Как Это Работает
- Преимущества Использования ИИ в Анализе КТ
- Ранние Стадии Фиброза: Почему Это Так Важно
- Наш Опыт: Реальные Истории Пациентов
- Проблемы и Вызовы
- Будущее ИИ в Пульмонологии
Искусственный Интеллект в Пульмонологии: Наш Опыт Борьбы с Фиброзом
Мы живем в эпоху, когда технологии проникают во все сферы нашей жизни, и медицина не является исключением․ Искусственный интеллект (ИИ) становится все более мощным инструментом в руках врачей, помогая им ставить более точные диагнозы, разрабатывать эффективные стратегии лечения и даже предсказывать развитие заболеваний․ В этой статье мы поделимся нашим личным опытом использования ИИ в пульмонологии, особенно в контексте анализа компьютерной томографии (КТ) и выявления ранних стадий фиброза․
Наш путь в мир ИИ в медицине начался несколько лет назад, когда мы столкнулись с трудностями в диагностике сложных случаев фиброза легких․ Стандартные методы, такие как рентген и спирометрия, не всегда давали достаточно информации для точной оценки состояния пациента․ КТ-снимки, безусловно, предоставляли более детальную картину, но их анализ требовал огромного количества времени и опыта․ Именно тогда мы начали искать новые решения, и ИИ оказался многообещающим направлением․
Первые Шаги: Знакомство с ИИ в Диагностике
Первым шагом было изучение доступных на рынке ИИ-систем, предназначенных для анализа медицинских изображений․ Мы протестировали несколько различных платформ, сравнивая их точность, скорость работы и удобство использования․ Было важно найти систему, которая не только хорошо распознает признаки фиброза, но и легко интегрируется в наш существующий рабочий процесс․
Мы столкнулись с различными трудностями․ Некоторые системы требовали значительной адаптации к нашим протоколам сканирования, другие оказались слишком сложными в использовании․ Однако, после нескольких месяцев исследований и экспериментов, мы нашли систему, которая соответствовала нашим требованиям․ Она была разработана специально для анализа КТ-снимков легких и обладала высокой чувствительностью к ранним признакам фиброза․
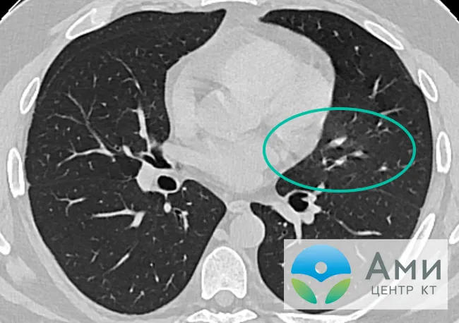
КТ-Снимки и ИИ: Как Это Работает
Компьютерная томография (КТ) – это мощный инструмент визуализации, который позволяет получить детальные изображения внутренних органов․ В случае фиброза легких, КТ может выявить характерные изменения в структуре ткани, такие как сотовое легкое, тракционные бронхоэктазы и ретикулярные изменения․ Однако, эти изменения могут быть очень тонкими и трудно различимыми на ранних стадиях заболевания․
Именно здесь на помощь приходит ИИ․ ИИ-системы, обученные на огромном количестве КТ-снимков с подтвержденным диагнозом фиброза, способны распознавать даже самые незначительные изменения в структуре легких․ Они анализируют каждый пиксель изображения, выявляя паттерны, которые могут указывать на наличие фиброза․ Затем, система предоставляет врачу отчет с указанием наиболее подозрительных участков и оценкой вероятности наличия заболевания․
Преимущества Использования ИИ в Анализе КТ
Использование ИИ в анализе КТ-снимков дает нам ряд значительных преимуществ:
- Повышение точности диагностики: ИИ помогает выявлять признаки фиброза на ранних стадиях, когда они еще трудно различимы для человеческого глаза․
- Сокращение времени анализа: ИИ может проанализировать КТ-снимок за несколько минут, что значительно экономит время врача;
- Уменьшение количества ошибок: ИИ не подвержен усталости и субъективности, что снижает вероятность ошибок в диагностике․
- Повышение объективности оценки: ИИ предоставляет объективную оценку степени фиброза, что помогает в мониторинге прогрессирования заболевания․
Ранние Стадии Фиброза: Почему Это Так Важно
Фиброз легких – это прогрессирующее заболевание, которое приводит к необратимому повреждению легочной ткани․ Чем раньше будет поставлен диагноз и начато лечение, тем больше шансов замедлить прогрессирование заболевания и улучшить качество жизни пациента․ Выявление ранних стадий фиброза – это сложная задача, но именно здесь ИИ может сыграть решающую роль․
На ранних стадиях фиброза изменения в легких могут быть минимальными и легко пропущенными․ Однако, ИИ, благодаря своей высокой чувствительности и способности к анализу сложных паттернов, может выявить даже самые незначительные отклонения от нормы․ Это позволяет нам начать лечение на ранней стадии, когда оно наиболее эффективно․
Наш Опыт: Реальные Истории Пациентов
Мы видели своими глазами, как ИИ помогает нам в диагностике и лечении пациентов с фиброзом легких․ Вот несколько примеров из нашей практики:
- Пациентка А․, 55 лет: Обратилась с жалобами на одышку при физической нагрузке․ Рентген легких не выявил никаких отклонений․ Однако, КТ-снимок, проанализированный с помощью ИИ, показал наличие небольших участков фиброза в нижних отделах легких․ Диагноз был подтвержден биопсией легкого․ Благодаря ранней диагностике, пациентке было назначено лечение, которое позволило замедлить прогрессирование заболевания․
- Пациент Б․, 62 года: Страдает хронической обструктивной болезнью легких (ХОБЛ)․ При плановом обследовании КТ-снимок, проанализированный с помощью ИИ, выявил признаки интерстициального заболевания легких (ИЗЛ), что является одним из возможных осложнений ХОБЛ․ Раннее выявление ИЗЛ позволило скорректировать лечение и предотвратить дальнейшее ухудшение состояния пациента․
- Пациентка В․, 48 лет: Обратилась с жалобами на сухой кашель и одышку․ КТ-снимок, проанализированный с помощью ИИ, выявил признаки лекарственно-индуцированного фиброза легких․ После отмены препарата, вызвавшего фиброз, состояние пациентки значительно улучшилось․
«Искусственный интеллект не заменит врачей, но врачи, использующие искусственный интеллект, заменят тех, кто его не использует․» ― Д-р Эрик Тополь
Проблемы и Вызовы
Несмотря на все преимущества, использование ИИ в пульмонологии сопряжено с определенными проблемами и вызовами:
- Стоимость: ИИ-системы для анализа медицинских изображений могут быть довольно дорогими․
- Необходимость обучения: Врачам необходимо пройти обучение, чтобы правильно интерпретировать результаты, предоставляемые ИИ․
- Интеграция в рабочий процесс: Интеграция ИИ-системы в существующий рабочий процесс может быть сложной задачей․
- Этичность: Необходимо учитывать этические аспекты использования ИИ в медицине, такие как конфиденциальность данных и ответственность за принятие решений․
Будущее ИИ в Пульмонологии
Мы уверены, что будущее ИИ в пульмонологии выглядит очень многообещающе․ В ближайшие годы мы увидим дальнейшее развитие и совершенствование ИИ-систем для анализа медицинских изображений․ ИИ будет помогать врачам ставить более точные диагнозы, разрабатывать более эффективные стратегии лечения и даже предсказывать развитие заболеваний․ Мы считаем, что ИИ станет незаменимым инструментом в борьбе с фиброзом легких и другими заболеваниями легких․
Наш опыт показывает, что искусственный интеллект является мощным инструментом в руках пульмонологов․ Он помогает нам выявлять ранние признаки фиброза, ставить более точные диагнозы и разрабатывать более эффективные стратегии лечения․ Несмотря на существующие проблемы и вызовы, мы уверены, что ИИ станет незаменимым инструментом в борьбе с заболеваниями легких․ Мы продолжаем изучать и внедрять новые ИИ-технологии в нашу практику, чтобы улучшить качество жизни наших пациентов․
Подробнее
| ИИ анализ КТ легких | Фиброз легких ИИ | Ранняя диагностика фиброза | Пульмонология искусственный интеллект | Анализ КТ при фиброзе |
|---|---|---|---|---|
| ИИ в медицине легких | КТ признаки фиброза | ИИ помощь пульмонологу | Новые технологии в пульмонологии | Диагностика фиброза ИИ |








