Разработка и Технологии
Видеть Невидимое: Как Искусственный Интеллект Революционизирует Диагностику Мягких Тканей Мы живем в эпоху, когда технологии проникают во все сферы нашей
ИИ против Узелков: Как нейросети спасают наши легкие Мы живем в эпоху технологического прогресса, где искусственный интеллект (ИИ) постепенно проникает
ИИ в пульмонологии: Как мы автоматизировали анализ рентгеновских снимков легких Привет, друзья! Сегодня мы хотим поделиться с вами невероятно захватывающим
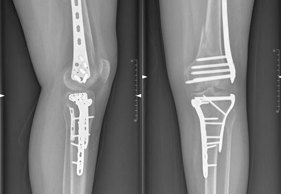
ИИ на страже костей: как искусственный интеллект меняет диагностику переломов В мире, где технологии проникают во все сферы нашей жизни, медицина не остается в стороне.
ИИ для анализа изображений грудной клетки: Как мы автоматизировали рутину и что из этого вышло В медицине, как и во многих других областях, рутина порой
ИИ: Личный тренер в вашем запястье. Как носимые устройства меняют наше здоровье Мы живем в удивительное время, когда технологии не просто окружают нас
ИИ в гистологии: Как нейросети меняют диагностику рака Мы живем в эпоху‚ когда искусственный интеллект (ИИ) проникает во все сферы нашей жизни. И‚
Искусственный Интеллект: Новая Эра в Расшифровке Генома. Наш Опыт. Привет‚ друзья! Сегодня мы хотим поделиться с вами нашим захватывающим опытом
ИИ в эндокринологии: Революция на горизонте или переоцененный хайп? В мире медицины, где каждая секунда и каждая капля информации имеют значение, искусственный
ИИ в эндокринологии: Революция в диагностике и лечении заболеваний щитовидной железы Мы живем в эпоху невероятных технологических прорывов, и искусственный










